- DAS SINNESORGAN OHR
- ÄUSSERES OHR
- MITTELOHR
- INNENOHR
- Corti-Organ
- Basilarmembran
- Haarsinneszellen
- Cochleärer Verstärker
- Dead Region
- Tuningkurve
- DIE NEURONALEN STRUKTUREN DER HÖRVERARBEITUNG
- AUFBAU EINER NERVENZELLE
- Aktionspotential (Nervenzelle)
- INNERVIERUNG DER COCHLEA
- FUNKTION DER HÖRFILTER
- INFORMATIONSVERARBEITENDE ZENTREN
Der Philosoph Immanuel Kant soll gesagt haben: „Nicht sehen können, trennt von den Dingen. Nicht hören können, trennt vom Menschen.“ Kant hat das Gehör als „sozialen Sinn“ eingeschätzt, der vielleicht wichtiger ist als das Sehen. Unsere moderne Welt ist sehr stark durch visuelle Reize geprägt, daher wird die Bedeutung des Hörens und auch die Leistungsfähigkeit unserer Ohren heute oft unterschätzt.
Das Gehör ist das empfindlichste und dynamischste Sinnesorgan des Menschen. Die Begrifflichkeit „Gehör“ bezeichnet die Gesamtheit aus den beiden Ohren (A), den Nervenbahnen und der Hörverarbeitung im Gehirn (B). Um gut hören und verstehen zu können, muss der Schall bzw. der daraus resultierende Nervenimpuls alle „Stationen“ möglichst fehlerfrei durchlaufen.
Pausenlos sind die Ohren im Einsatz – ein Leben lang. Dabei leisten sie beinahe Unfassbares:
Zum Beispiel kann der Mensch extrem leise Geräusche wahrnehmen – wenn wir ebenso gut sehen wie hören könnten, würden wir eine 10-Watt-Glühbirne noch aus 1.000 Kilometern[1] Entfernung erkennen.
Der Mensch kann bis auf 1° genau eine Richtung akustisch bestimmen. Richtungshören ist der Schlüssel zur kognitiven Fähigkeit, unerwünschte akustische Signale auszublenden und somit selektiv zu hören. Die Schallortung kann den Signal-Rausch-Abstand (S/N) um circa 10 dB [2] verbessern.
Der Mensch kann dabei Signale mit interauralen Zeitdifferenzen bis zu minimal 10μs und Pegeldifferenzen bis zu 0,3dB unterscheiden [3][3] (1 Mikrosekunde (μs) =1000 Nanosekunden =0,000.001 Sekunden =10-6 Sekunden).
_____________________
1 Alliance Healthcare Deutschland AG – www.gesundheit.de
2 Abrogast, A., Mason, C. & Kidd, G. – the effect of spatial separation on masking of speech in normal-hearing and heraring-impaired listeners (2005)
3 Angela Zimmermann „Eigenschaften des Richtungshörens beim
Menschen“ – Universität Ulm (2004)
Nachfolgend werden die einzelnen Teilbereiche separat betrachtet:
A. das Ohr
• Das äussere Ohr
• Das Mittelohr
• Das Innenohr
B. das Gehirn
• Aufbau einer Nervenzelle
• Funktion der Hörfilter
• Informationsverarbeitende Zentren
DAS SINNESORGAN OHR
Das Ohr unterteilt sich in die drei Bereiche. Die folgende Abbildung [Abb. 5 Gehör] [4] zeigt die wichtigsten anatomischen Elemente auf.


ÄUSSERES OHR
Das äussere Ohr besteht aus der Ohrmuschel und dem Gehörgang. Die nebenstehende Darstellung [Abb. 6 Ohr] zeigt die wichtigsten lateinischen Begriffe zur Anatomie des Ohres.
Die Gesamtverstärkung des äusseren Ohres (t) summiert sich aus unterschiedlichen Teilen auf [Abb. 7 Verstärkung] [5]. Die beiden grössten Resonanzen entstehen durch den Pinna-Effekt (p) der Ohrmuschel und die Eigenresonanz des Gehörganges (c). Die Trichterform der Ohrmuschel trägt zusätzlich zu einer Verbesserung des Richtungshörens bei. Der Pinna-Effekt leistet ca. 12dB bei 5-7kHz. Die Gehörgangsresonanz/OEG (c) beträgt im Schnitt ca. 12dB bei 2-3,5kHz. Die Summe (t) beinhaltet alle akustischen Teilkurven. Die Gesamtverstärkung beträgt ca. 22dB (maximal und frequenzspezifisch). [6]
MITTELOHR
Das Mittelohr [Abb. 10 Mittelohr] [7] [8] besteht im Wesentlichen aus dem Trommelfell und dem System von Hammer, Amboss und Steigbügel, die zusammen die Gehörknöchelchenkette (GKK) bilden. Das Trommelfell gibt die Luftdruckschwankungen als Bewegungsenergie an die GKK weiter und der Steigbügel überträgt die Bewegung auf das ovale Fenster und damit in das Innenohr. Hierbei wird aufgrund der Flächentransformation (Trommelfell/Steigbügelfussplatte) und der Hebelwirkung (GKK) eine Verstärkung von ca. 27dB erzeugt. Ohne diese Impedanzanpassung würden ca. 99% des Schalles reflektiert werden, dies entspricht einer Dämpfung von ca. 29dB. Somit werden bei optimaler Ankopplung (ca 1-3kHz) lediglich 60% des Schalles übertragen. [9]
_______________________
5 A. Dancer – www.neuroreille.com (2002) / Shaw E.A.G. –
Handbook of Sensory Physiology (1974)
6 A. Dancer – www.neuroreille.com (2002) / Shaw E.A.G. –
Handbook of Sensory Physiology (1974)
7 KOJ Institut für Gehörtherapie
8 Foto: The Hospital for Sick Children (SickKids) – University of Toronto





Insgesamt summieren sich die Schalldrücke der Verstärkung des äusseren Ohres (22dB) sowie der Verstärkung (27dB) und der Dämpfung (-29dB) des Mittelohres zu einem Faktor von 102 (100). Im Rahmen der Gehörtherapie kommunizieren wir (vereinfacht), dass (leiser) Schall um das bis zu 100-Fache verstärkt wird, bis er am Innenohr ankommt.
INNENOHR
Das Innenohr, die Cochlea [Abb. 11 Innenohr] [10], hat zwei Hauptaufgaben, die Verstärkung bzw. Dämpfung [11] von Schall und dessen Umwandlung in Nervenimpulse. Sie besteht aus 2,5 Windungen und ist mit Flüssigkeit gefüllt und mit dem Labyrinth (Gleichgewichtsorgan) verwachsen. Die Cochlea beginnt an der Basis und endet am Apex und besteht aus drei Gängen. Der mittlere Gang der Cochlea wird als Scala media bezeichnet. Der obere bzw. untere Gang heissen Scala vestibuli bzw. Scala tympani. Die wichtigsten anatomischen Punkte sind die Scala media, die Deck- und die Basilarmembran, das Corti-Organ [Abb. 12 Corti-Organ] [12] und die dort eingebetteten Haarsinneszellen. Zwischen der Deck- und der Basilarmembran liegt das Corti-Organ. Ausgehend von der am ovalen Fenster (Mittelohr) übertragenen Schwingung, wird die Flüssigkeit der Cochlea in Bewegung versetzt.
Die Endolymphe der Scala media ist positiv geladen (+80mV, aufgrund hoher Kalium (K+) Dichte). Dagegen ist die Ladung der Perilymphe von Scala vestibuli und Scala tympani negativ (-70mV, aufgrund geringer Kalium und dafür hoher Natium (Na+) Dichte). Die resultierende Spannung nennt sich endocochleäres Potential (150mV [13] ist das Delta aus +80mV und -70mV) – dies ist der „chemische Motor“, der für die nachfolgenden Prozesse elementar ist.
_______________________
9 Reinhold Greisbach – Institut für Phonetik, Frankfurt (2005)
10 KOJ Institut für Gehörtherapie
11 de Gruyter Lehrbuch – Hals-Nasen-Ohren-Heilkunde 2. Auflage
(1996)
12 Foto: The Hospital for Sick Children (SickKids) –
University of Toronto
13 Rainer Klinke Lehrbuch der Physiologie (2005)




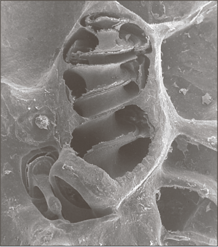
Corti-Organ
Das Corti-Organ [Abb. 13 Corti-Organ] [14] [Abb. 14 Corti-Organ] [15] beinhaltet zwei Arten von Haarsinneszellen mit unterschiedlicher Funktionalität.
Die äusseren Haarsinneszellen/Motorzellen sind mehrreihig angeordnet und für die Verstärkungsfunktion des Innenohres verantwortlich. Dem gegenüber stehen die einreihig angeordneten inneren Haarsinneszellen/Hörzellen, welche für die Umsetzung des Schalls in Nervenimpulse verantwortlich sind.
Die Stereozilien der Motorzellen sind in der darüber liegenden Deckmembran fest verankert, während die Stereozilien der Hörzellen frei liegen. Somit wird bei einer Auslenkung der Basilarmembran (Scherbewegung) die höchste Belastung auf die Stereozilien der Motorzellen ausgeübt und dadurch entsteht an dieser Stelle am häufigsten ein Funktionsdefizit.
Basilarmembran
Jedem Ort der Basilarmembran ist eine bestimmte Frequenz zugeordnet [Abb. 15 Basilarmembran]. An der Basis der Cochlea werden die hohen Frequenzen (bis zu ca. 20.000Hz) und an der Spitze die tiefen Frequenzen (ab ca. 20Hz) wahrgenommen. Diese Abbildung einer Frequenz an einem bestimmten Ort wird als Tonotopie (Ortsprinzip) bezeichnet.
Anhand der Resonanzverhältnisse, die durch die anatomischen Gegebenheiten der Basilarmembran bedingt sind, entsteht die passive Wanderwelle [16] [Abb. 16 Passive Wanderwelle]. Die Basilarmembran ist in der Nähe des ovalen Fensters schmal (100μm) und steif und mit zunehmender Nähe zur Spitze der Cochlea breiter (500μm) und flexibler.
Die aktive Wanderwelle dagegen ist ein aktiver Prozess der Motorzellen, dessen Ergebnis eine erhöhte Verstärkung und eine extreme Frequenzschärfung des Schalls zur Folge hat.
_______________________
14 KOJ Institut für Gehörtherapie
15 Foto: Medizinische Universität Innsbruck 16 Georg Békésy
(Nobelpreis 1961)





Haarsinneszellen
Die nachfolgende Abbildung zeigt eine mikroskopische Vergrösserung freigelegter Haarsinneszellen [Abb. 17 Haarsinneszellen] [17]. Die ungefähr 15.000 Haarsinneszellen des Corti-Organs [Abb. 19 Corti-Organ] [18] teilen sich in 3.000 Hörzellen und 12.000 Motorzellen auf.
Die mehrreihig angeordneten Motorzellen haben die primäre Funktion, den Schalldruck physikalisch zu verändern. Dies erfolgt durch eine aktive Längenänderung (ca. 5%). Der eintreffende Schall wird dadurch frequenzspezifisch verstärkt [19], aber auch im Falle eines zu hohen Schalldrucks gedämpft. Diese (kompressiv nichtlineare) Verstärkung erfolgt bei leisen Schalleingängen am stärksten und bewirkt eine Anhebung des Schallsignals um 30-50dB [20].
Wird der Wert 30dB auf die Intensität umgerechnet und dabei ein Verhältnis zwischen 0dB und 30dB gebildet, so entspricht dies einem Faktor von 103 (1000). Im Rahmen der Gehörtherapie sprechen wir (vereinfacht) von einer ca. 1000-fachen Verstärkung des Innenohres.
Die Funktion der Hörzellen besteht darin, den modifizierten Schall in Nervenimpulse (Bioelektrizität) umzuwandeln.
In der nebenstehenden Abbildung sind gesunde und geschädigte Stereozilien der Haarsinneszellen gegenübergestellt [Abb. 18 Haarsinneszellen] [21] [22]. Nach dem heutigen Stand der wissenschaftlichen Forschung ist ein solches Defizit irreversibel. Gleichzeitig scheint ein cochleärer Defekt die häufigste Ursache einer Schwerhörigkeit zu sein.
(Unterer Bildstreifen: [Abb. 19 Corti-Organ], [Abb. 20 Stereozilien], [Abb. 22 Haarsinnes- zelle], [Abb. 23 Haarsinneszelle], [Abb. 24 Tip-Links] [23])
__________________________
17 Foto: The Hospital for Sick Children (SickKids) – University of Toronto
18 Foto: Keele University (England)
19 Dr. Reiss – Facharztwissen HNO-Heilkunde (2009)
20 Publikation der Med. Fakultät Tübingen (2008)
21 KOJ-Institut für Gehörtherapie
22 Foto: The Hospital for Sick Children (SickKids) – University of Toronto
23 Fotos: Keele University (England)





Cochleärer Verstärker
Wird Schall, ausgehend vom ovalen Fenster, in die Cochlea übertragen, entsteht der cochleäre Verstärker wie folgt:
Die Stereozilien sind an der Spitze über sogenannte „Tip- Links“ [Abb. 21 Tip-Links] [24] miteinander verbunden. Diese Tip-Links sind Mechanismen zur Öffnung und zum Verschluss von Ionen-Kanälen der Stereozilien, deren Ziel es ist, eine Spannungsveränderung zu ermöglichen. Motor- sowie Hörzellen sind von Endolymphe umgeben (+80mV). Die Motorzellen haben ein Ruhepotential von -70mV und die Hörzellen von -40mV [25].
Die Basilarmembran wird durch die passive Wanderwelle in Schwingung versetzt. Das Maximum dieser Bewegungsenergie sorgt sehr lokal dafür, dass die Tip-Links der betroffenen Motorzellen geöffnet werden [Abb. 21 Tip-Links] [Abb. 24 Tip-Links] [26] was eine Spannungsveränderung dieser Zellen zur Folge hat. Dadurch beginnen die Motorzellen zu oszillieren. Diese sehr lokale Aktion ist die aktive Wanderwelle [Abb. 25 Aktive Wanderwelle]. Da die Motorzellen die Basilar- und Deckmembran miteinander verbinden, wirkt sich die Längenveränderung in Form einer relativen Scherbewegung aus. Die dadurch bewegte Deckmembran berührt die freiliegenden Stereozilien der Hörzellen und die Hörzellen erzeugen anschliessend ein Aktionspotential (AP), dass über das afferente Nervensystem ans Gehirn geleitet wird. Um ein AP zu erzeugen, muss mechanische in elektrische Energie umgewandelt werden (Transduktion). Dabei gilt das „Alles-oder-Nichts Gesetz“ [27], d.h. die Reaktion auf den Reiz wird immer vollständig oder gar nicht ausgelöst. Nachgeschaltete chemische bzw. bioelektronische Prozesse führen zu einer Weiterleitung des Signals an weitere Nervenzellen.
Erst durch die aktive Wanderwelle wird eine scharfe Fre- quenzauflösung realisiert [Abb. 25 Aktive Wanderwelle] [28].
_____________________________
24 Boenninghaus & Lenarz – HNO Heilkunde 13. Auflage (2007)
25 Rainer Klinke – Lehrbuch der Physiologie (2005)
26 Foto: Keele University (England)
27 Boenninghaus & Lenarz – HNO Heilkunde 13. Auflage (2007)
28 Foto: ETH Zürich




Dead Region
Sind nicht die Motorzellen sondern die Hörzellen defekt, spricht man von einer Dead Region (DR), also einer „toten Region“. Das Phänomen DR wurde erstmals 1996 [29] untersucht und fand in Form einer Anpassstrategie Namens „Ski“ [30] seinen Weg in die Hörgeräteakustik.
Eine DR kennzeichnet sich dadurch aus, dass Bereiche der Hörzellen und/oder die damit verbundenen Neuronen so schlecht arbeiten, dass sie als tot bezeichnet werden könnten. Das heisst, die mechanischen Schwingungen eines bestimmten Bereiches der Basilarmembran können nicht in elektrische Impulse im Hörnerv umgesetzt werden. Jedoch kann ein Signal, welches bei hohem Pegel ein Resultat der Streuung der Erregung in angrenzende Gebiete ist, in welchen die Hörzellen und Neuronen noch funktionieren, wahrgenommen werden (= off-place hearing [31]). In der Summe gleicht dieses versetzte Hören einer Maskierung und ist i.d.R. ebenso störend. Während der Audiometrie kann bei Fällen mit DR beobachtet werden, dass der Patient keinen „klaren Ton“ hört, sondern ein „Rauschen“.
[Abb. 26 Cochlea intakt] [32] zeigt intakte Hörzellen (oben) und intakte Motorzellen (unten). Darunter [Abb. 27 Cochlea defekt 1] [33] sehen Sie eine typische Innenohr-Schwerhörigkeit, verursacht durch defekte Motorzellen. Die unterste Aufnahme [Abb. 28 Cochlea defekt 2] [34] zeigt eine DR, gekennzeichnet durch ein Fehlen der Hörzellen.
Tuningkurve
Für jede Nervenfaser gibt es eine spezielle Frequenz, durch die sie am leichtesten in Erregung versetzt wird. Diese für die einzelne Nervenfaser charakteristische Frequenz ist die Bestfrequenz (Abb. 21). Weicht der Reiz von dieser Frequenz ab, so steigt die Reizschwelle an, d.h. man braucht grössere Pegel, um ein Nervensignal zu erhalten. [35]
[Abb. 30 Tuningkurven] zeigt 16 übereinandergelegte Tuningkurven eines Chinchillas. Wird beispielsweise eine einzelne Tuningkurve aus dieser Grafik entfernt, kann der dargebotene Schallreiz dennoch wahrgenommen werden, sofern die Lautstärke deutlich erhöht wird. Das heisst, dass ein Patient trotz einer DR aufgrund des groben audiologischen Messverfahrens (1,5kHz, 2kHz, 3kHz, etc.) die Frequenz ggf. hören kann. Die resultierende Wahrnehmung des Sinustones entspräche allerdings eher einem Rauschen oder Brummen. Wird in diesem Fall eine DR nicht erkannt und durch ein Hörsystem verstärkt, resultiert eine starke Maskierung.
Letztendlich visualisiert eine Tuningkurve die Empfindlichkeit der jeweiligen Frequenz und beschreibt dadurch die aktive Wirkung des cochleären Verstärkers.
_________________________
29 Prof. Dr. Brain Moore – University of Cambridge, England (1996)
30 Firma Oticon mit „DigiFocus Power II“ (1998)
31 Kevin Munro – School of Phychological Sciences, Univ. of
Manchester UK (2008)
32 Prof. Dr. Brain Moore – University of Cambridge, England (1996)
33 Prof. Dr. Brain Moore – University of Cambridge, England (1996)
34 Prof. Dr. Brain Moore – University of Cambridge, England (1996)
35 Jens Ulrich – Hörgeräte-Akustik Kompendium Band 1 (2001)





DIE NEURONALEN STRUKTUREN DER HÖRVERARBEITUNG
AUFBAU EINER NERVENZELLE
Ein Nerv besteht aus Nervenfaserbündeln, Blutbahnen und einer Ummantelung. Ein solches Nervenbündel fasst eine Vielzahl von Nervenfasern zusammen [Abb. 31 Nervenfaser] [36]. Diese Nervenfasern bestehen aus vielen einzelnen Nervenzellen [Abb. 32 Nervenzelle] [37] und diese Nervenzellen wiederum aus einem Zellkörper mit Zellkern sowie einem langen Zellfortsatz, dem Axon. Synapsen verbinden Axone mit unterschiedlichen Zellkörpern – die Folge ist eine feingliedrige Vernetzung vieler Nervenzellen [Abb. 34 Nervenzellen] [38].
Das Axon ist von einer Myelinscheide umgeben [Abb. 33 Myelinscheide] [39] [40]. Dadurch wird einerseits das Axon von den Impulsen benachbarter Nervenzellen geschützt, und durch die zusätzliche Isolierung wird eine schnelle („springende“) Signalweiterleitung sichergestellt. Nervenfasern ohne Myelinscheide leiten Impulse mit einer Geschwindigkeit von ca. 20m/s (ca. 72km/h) weiter. Axone mit Isolierung leiten Signale etwa 6x schneller weiter – dies entspricht 120m/s (ca. 432km/h). [41]
_________________________
36 KOJ Institut für Gehörtherapie
37 Max-Planck-Institut für Entwicklungsbiologie
38 KOJ Institut für Gehörtherapie
39 KOJ Institut für Gehörtherapie
40 Foto: Electron Microscopy Facility – Trinity College
41 Christian-Albrechts-Univ. – Institut für Phonetik & digi. Sprachverarbeitung, Kiel (2005)




Aktionspotential (Nervenzelle)
Der initiale Reiz muss ein Mindestmass an Spannungsänderung (ca. -70mV auf -55mV [42]) erreichen. Dies erfolgt durch die Bewegung der Tip-Links. Ein AP ist eine vorübergehende, charakteristische Abweichung des Membranpotentials (ca. +40mV) von ihrem Ruhepotential (ca. -70mV). Das AP [Abb. 35 Aktionspotential] [43] einer Nervenzelle dauert circa eine Millisekunde und gilt als singuläres Ereignis mit binärem Charakter. Es gibt also keine starken oder schwachen Aktionspotentiale, vielmehr sind es einzelne Alles-oder-Nichts-Reaktionen [44].
Das Schallsignal wird wie folgt codiert [45]: Die Schallintensität wird über die Impulshäufigkeit (AP), die Zeitdauer des Signals durch die Dauer der APs codiert. Die Frequenz wird durch das Ansprechen der jeweiligen (tonotopischen) Nervenfaser(n) codiert. Aktionspotentiale können weitgehend verlustfrei und unverzerrt über grössere Entfernungen geleitet werden und ermöglichen dadurch die Erregungsleitung im Nervensystem.
INNERVIERUNG DER COCHLEA
Die Axone der Nervenzellen vereinigen sich im Spiralganglion und ausserhalb der Cochlea zum Hörnerv (Nervus cochlearis). Das Spiralganglion selbst liegt in einem Hohlraum im Zentrum der Schneckenwindungen der Cochlea und weist eine Vernetzung [Abb. 36 Innervierung] [46] [47] von ca. 30.000 afferenten und ca. 1800 efferenten Nervenfasern auf. Afferente Nervenfasern transportieren Nervenimpulse vom peripheren (Ohr) zum zentralen System (Gehirn), efferente Nervenfasern in die andere Richtung. Die Hörzellen der Cochlea zeigen die dichteste Vernetzung mit den afferenten Nervenfasern. Über 95% der afferenten Nervenfasern sind mit den Hörzellen verbunden (einer Hörzelle stehen ca. 10 Nervenfasern zur Verfügung) [Abb. 37 Innervierung] [48]. Dahingehen sind die 12.000 Motorzellen mit nur ca. 1.800 efferenten Nervenfasern verbunden. [49]
Die gebündelten Nervenfasern des Hörnervs enden am primären Hörzentrum. Von dort gibt es viele Verbindungen zu anderen Hirnabschnitten. Durch die afferenten und efferenten Nervenfasern steht das (Innen-)Ohr mit dem Gehirn in einem ständigen Dialog. So kann z.B. die Funktion der Motorzellen aktiv vom Gehirn gesteuert und, damit ein direkter Einfluss auf deren Verstärkungs- bzw. Dämpfungsfunktion [50] ausgeübt werden. Dadurch werden bestimmte Lautstärken sehr stark verstärkt und andere gedämpft. Dies ist das Prinzip der „kompressiven Nichtlinearität“ [Abb. 38 Kompressive Nichtlinearität].
Sichtbar wird die ständige Kommunikation zwischen Gehirn und Innenohr z.B. durch eine im Lärm auftretende temporäre Hörschwellenverschiebung (TTS = temporary threshold shift). Durch eine Rückkopplung über die efferenten Nervenfasern wird den Motorzellen signalisiert, den Schall nicht weiter verstärken zu müssen. Dies führt zu einer vorübergehenden Verschiebung der Hörschwelle und äussert sich in dem subjektiven Gefühl, die Umgebung „gedämpft“ wahrzunehmen. Ein weiteres Beispiel hierfür ist eine häufige Form von Tinnitus, die auch bei gesund hörenden Menschen registriert werden kann. Diese nehmen z.B. in einem schalltoten Raum nahezu immer einen Tinnitus wahr.
___________________________
42 Wikipedia – Spektrum der Wissenschaft Verlagsgesellschaft mbH
43 Wikipedia – Spektrum der Wissenschaft Verlagsgesellschaft mbH
44 Boenninghaus & Lenarz – HNO Heilkunde 13. Auflage (2007)
45 Jens Ulrich – Hörgeräte-Akustik Kompendium Band 1 (2001)
46 KOJ Institut für Gehörtherapie
47 Foto: Brain Art 2010 – University of Liege (Belgien)
48 Foto: Department of Physiology (Medical & Health Sciences) Uni. of Auckland
49 Christian-Albrechts-Univ. – Institut für Phonetik & digi. Sprachverarb., Kiel (2005)
50 de Gruyter Lehrbuch – Hals-Nasen-Ohren-Heilkunde 2. Auflage (1996)




In diesem Raum kommt es im Innenohr des Menschen über entsprechende Anpassungsbefehle des Gehirns zu einer virtuellen Verstärkung nicht vorhandenen Schalls. Die anschliessend an das Gehirn weitergeleiteten Signale werden von dort z.B. als Rauschen oder Pfeifen interpretiert und sind das Ergebnis einer Fehlkommunikation zwischen Gehirn und Innenohr.
Eine 2002 veröffentlichte Studie [51] mit 123 von Tinntitus betroffenen Personen zeigte eine enge Verbindung zwischen Tinnitus und Schwerhörigkeit. Zwei Aspekte sind hervorzuheben: Zum einen wurde nur bei einer von 123 Personen keine Schwerhörigkeit festgestellt. Zum anderen hing die Tinnitusfrequenz der Studienteilnehmer direkt mit ihren Hörverlustfrequenzen zusammen und die Lautstärke des Tinnitus korrespondierte mit dem Grad der Schwerhörigkeit.
2006 veröffentlichte eine französische Tinnitusklinik eine Studie [52], bei der sich 555 von Tinnitus betroffene Personen beteiligten. Interessant dabei war, dass 86,1% gleichzeitig an einer endocochleären Schwerhörigkeit litten.


FUNKTION DER HÖRFILTER
Bei der Auswertung der Hörinformation werden in der Hör- verarbeitung des Gehirns die sogenannten Hörfilter aktiv. Dieses belastungsabhängige Filtersystem schützt das Bewusstsein vor einer allgegenwärtigen Reizüberflutung. So werden z.B. das Ticken einer Standuhr oder eigene Schluck- und Atemgeräusche nur bei einer bewussten Konzentration wahrgenommen.
Durch die Hörfilter werden etwa 70% [53] der Hörinformationen ausgeblendet und nur etwa 30% gelangen in das Bewusstsein. Dazu werden die Hörinformationen an jeder Neuverschaltungsebene, also an den Synapsen zwischen den einzelnen Nervenzellen, ausgewertet und modifiziert [Abb. 39 Netzwerk von Nervenzellen] [54] [55] [Abb. 40 Netzwerk von Nervenzellen] [56]. Die der Synapse vorgeschalteten Nervenzellen können dabei einen inhibitorischen (hemmenden) bzw. erregenden Einfluss ausüben [Abb. 41 Hörfilter] [57].
________________________________
51 Characteristics of Tinnitus and Etiology of Associated Hearing Loss: A Study of 123 Patients – International Tinnitus Journal (2002)
52 Characteristics of Tinnitus in a Population of 555 Patients: Specificities of Tinnitus Induced by Noise Trauma – International Tinnitus Journal (2006)
53 Prof. Dr. Schlote & Prof. Rainer Klinke – Institut für Physiologie Frankfurt
54 KOJ Institut für Gehörtherapie
55 Foto: Max-Planck-Institut für Entwicklungsbiologie
56 Foto: Bosten University – School of Medicinie Anatomy & Neurobiology 57 KOJ Institut für Gehörtherapie


Gelangen aufgrund eines Hörverlustes immer weniger Hö- rinformationen in die Hörverarbeitung, werden die Hörfilter schrittweise abgebaut, um mehr Gesamtinformationen auswerten zu können. Betroffene haben dadurch das Problem, Sprache im Hintergrundgeräusch immer schlechter verstehen zu können. Es gilt das Prinzip „use it or lose it“ [58] – was nicht genutzt wird, geht verloren.
Zentrales Ziel dertherapeutischen Akustik ist es, durch gezieltes Training die Hörfilter wieder aufzubauen und somit das Sprachverstehen im Hintergrundgeräusch deutlich zu verbessern.
Alles, was häufig trainiert (auch angewendet) wird, führt zur Optimierung der neuronalen Verknüpfungen in den jeweils zuständigen Nervenzellnetzen, was zur Folge hat, dass man die Fähigkeit immer mehr optimieren und verfeinern kann. [59]
INFORMATIONSVERARBEITENDE ZENTREN
Über den Hörnerv ankommende Informationen werden erst in der Grosshirnrinde ausgewertet, d.h., das eigentliche Verstehen von Sprache findet erst ihm Gehirn statt.
Hierbei gibt es verschiedene spezialisierte Areale, die die Auswertung bestimmter Aufgaben übernehmen, wie nebenstehende Darstellung zeigt [Abb. 42 Gehirnareale] [60]:
Hirnstamm (dunkles blau)
• Lokalisation: Richtungshören auf 1° genau, durch Schall-
verarbeitung beider Ohren
Primäre Hörrinde (gelb)
• Tonotopische Verarbeitung „Ortsprinzip“: Tonhöhen werden ähnlich der Tonotopie der Cochlea nur in bestimmten
Regionen verarbeitet
• Reaktion auf Tonhöhe, Intensität oder Rhythmus
• Filtereigenschaft
Wernicke-Areal (blau)
• Akustische Assoziation / Musikverständnis
• Sprachanalyse: Gehörtes wird verstanden
____________________________
58 Karl Lahmer (Sensible Entwicklungsphasen) – Schulbuchverlag E. Dorner (2008)
59 Karl Lahmer (Sensible Entwicklungsphasen) – Schulbuchverlag E. Dorner (2008) 60 KOJ Institut für Gehörtherapie
Pathologie: Eine Schädigung dieses Areals wird Wernicke-Aphasie genannt. Symptome hierbei sind Störungen des Sprachverständnisses, z.B. können die Betroffenen die Sprachlaute oft begrenzt nachahmen, sie sind dabei aber nicht in der Lage, das Gesagte auch zu verstehen und produzieren daher ein „Kauderwelsch“, das weder den Zuhörenden, noch ihnen selbst verständlich ist. Auch die Lokalisation und die Zuordnung zu Geräuschen wird stark erschwert. [61]
Geschwind-Areal (grün)
• Unterstützung der Sprachverarbeitung: Analyse von Lauten, der Bedeutung, Verhältnisse und Empfindungen
Broca-Areal (orange)
• Sprachverarbeitung: Sprache wird „gebildet“ und koordiniert
Pathologie: Schädigungen im Broca-Areal (Broca-Aphasie) bedingen Fehler in der Sprachproduktion. Während das Sprachverständnis i.d.R. intakt bleibt, ist es dem Betroffenen (fast) unmöglich, selbst zu sprechen. Manche Patienten sind noch befähigt, unter grosser Anstrengung Sätze zu formulieren, welche allerdings unvollständig sind (Telegrammstil). [62]
Nerv Faciculus arcuatus (lila)
• Verbindung zwischen den Sprachzentren: Strang an Nerven, die das Wernicke- und das Broca-Areal verbinden
motorischer Cortex (braun)
• Artikulation: Kontrolle der Bewegung von Mund, Zunge und Kehle
______________________
61 Wikipedia – Martin Trepel (Neuroanatomie – Struktur und Funktion) – Urban & Fischer (2004)
62 Wikipedia – DIMDI Deutsches Institut für Medizinische Dokumentation und Information



